Introduction
Tomato cultivation is confronted by more than 100 pathogens that economically impact its production, among which are bacteria, fungi, oomycetes, viruses and nematodes. Among the most common diseases in Mexico are damping off (Pythium sp., Rhizoctonia solani, Phytophthora sp., Fusarium sp.), wilt (Fusarium oxysporum f. sp. lycopersici, Verticillium dahliae, V. Alboatrum), gray mold (Botryotinia fuckeliana), late blight (Phytophthora infestans), early blight (Alternaria tomatophila, Alternaria alternata), powdery mildew (Leveillula taurica), leaf mold (Cladosporium fulvum), bacterial canker (Clavibacter michiganensis subsp. michiganensis), and bacterial speck (Pseudomonas syringae pv. tomato) (Alvarado-Rodríguez et al., 2011).
Symptoms of the aforementioned diseases range from wilting and stunting to yellowish discoloration and death of tissues and organs. These effects translate into low yields, lower fruit quality and shorter shelf life (Olivier et al., 2018). Losses in tomato yield and marketable value caused by viruses (tomato yellow leaf curl virus [TYLCV] and tomato spotted wilt virus [TSWV]) range from 40 to 100 % when plant damage is severe (Hanson et al., 2016), and those caused by fungi such as Fusarium can be up to 70 % under favorable environmental conditions (27-30 °C) (Panno et al., 2021).
The impact of disease incidence on yield can be 1- 5% in areas with mild onset, and more than 30 % in areas with severe onset (Liu & Wang, 2020). This leads to the need to breed varieties capable of resisting high-impact diseases by incorporating genes and promoting diversity in varieties to reduce the impact of pathogens (Bailey-Serres et al., 2019).
In most commercial tomato varieties, disease resistance is determined by individual major effect genes, each conferring resistance to a specific pathogen, race, strain or phylotype (Scott, 2005). Genes resistant to more than 35 pathogens, commonly used by the seed industry for incorporation into new commercial tomato varieties, have been discovered and mapped. Among these genes are those resistant to wilt caused by Fusarium sp. (races 1, 2 and 3), late blight (Ph-3 and Ph-2), wilt caused by Verticillium sp. (race 1), bacterial speck (Rx3 and Rx4), TYLCV (Ty-1, Ty-2, Ty-3 and Ty-4) and root-knot nematode (Mi-1) (Foolad & Panthee, 2012).
Most of the markers used to identify resistance genes correspond to the cleaved amplified polymorphic sequence (CAPS) and sequence characterized amplified region (SCAR) types, which are based on the polymerase chain reaction (PCR) technique (Lee et al., 2015; Oladokun & Mugisa, 2019). SCAR markers allow omitting the use of restriction enzymes, which eliminates a step after the PCR reaction; therefore, they are more efficient and reliable than CAPS markers in gel-based detection (Zhang & Panthee, 2021). They are also highly reproducible, have a medium-level technical requirement and require only low-quality target DNA (Agarwal et al., 2008). PCR-based techniques require less DNA, need less time and are less expensive than hybridization-based techniques; moreover, they are reproducible, easy to use and amenable to automation (Jiang, 2013).
In traditional breeding, distinctive phenotypic traits are selected during segregation, requiring eight to ten years to generate a new variety. Marker-assisted selection (MAS) is an innovative approach that improves the selection process by identifying phenotypic traits early through genotyping, replacing some phenotypic evaluations (Alvarez-Gil, 2011). Because in vivo assays can be influenced by environmental factors (Arens et al., 2010; Abewoy-Fentik, 2017), MAS, by eliminating environmental interaction, increases selection precision and efficiency, reduces costs and shortens selection cycles. In addition, this technique is invaluable when pathogenic tests are complex or unreliable, or there is a risk of introduction of exotic pathogens (Foolad et al., 2008).
Tomato breeding has resulted in the introduction of numerous genes for disease resistance, agronomic traits and fruit quality, which come from various related wild species (Álvarez-Gil, 2011). Traits have acquired a crucial role in the testing of distinctness, uniformity and stability in applications for plant breeders' rights. Considering the above, this study aimed to evaluate and validate the efficacy of molecular markers, using controlled PCR conditions, to identify genes resistant to six economically important diseases in advanced tomato lines.
Materials and methods
Plant material and research site
Sixteen tomato (Solanum lycopersicum L.) lines from the Universidad Autónoma Chapingo (UACh) “Breeding Project”, the commercial variety Mermaid and three commercial hybrids from the HM.CLAUS® company were used. The hybrids were used as controls to identify resistance genes.
The research was carried out in the UACh Plant Science Department’s Molecular Markers laboratory. The seeds were established in a greenhouse in 200-cavity trays with peat moss as substrate. Fifteen days after plant emergence, healthy fresh tissue, without apparent physical damage, was harvested and subsequently processed in the laboratory.
Molecular markers
The SCAR markers used were chosen from published scientific reports (Table 1). These markers are related to 10 genes with resistance to six tomato diseases; some are linked to the gene and others directly identify the resistance gene. The tomato diseases associated with the markers studied were: Meloidogyne spp. (TO_MI1 and TO_MI23; Mi-1 and Mi-1.2), Fusarium oxysporum f. sp. lycopersici (TO_I1 and TO_I2; I-1 and I-2), Stemphyllium sp. (TO_SM; Sm), Phytophthora infestans (TO_PH3; Ph3), TYLCV (TO_Y2 and TO_Y3; Ty-2 and Ty-3) and TSWV (TO_SWS; Sw5b) (Table 1).
Table 1.
| Pathogen | R Gene (chromosome) | SCAR marker/Sequence 5’ ‒ 3’ | Fragment size (bp) | Reference |
|---|---|---|---|---|
|
|
|
Pmi3 (gene-based) F: GGTATGAGCATGCTTAATCAGAGCTCTC R: CCTACAAGAAATTATTGTGCGTGTGAATG |
R: 550 | El Mehrach et al. (2005) |
| S: 350 | ||||
|
|
|
Mi23 (gene-based) F: TGGAAAAATGTTGAATTTCTTTTG R: GCATACTATATGGCTTGTTTACCC |
R: 380 | Seah et al. (2004) |
| S: 430 | ||||
|
race 1 |
|
At2 (gene-linked) F: CGAATCTGTATATTACATCCGTCGT R: GGTGAATACCGATCATAGTCGAG |
R: 130 | Ori et al. (1997), Scott et al. (2004), Arens et al. (2010) |
| S: 90 | ||||
|
race 2 |
|
Z1063 (gene-linked) F: ATTTGAAAGCGTGGTATTGC R: CTTAAACTCACCATTAAATC |
R: 940 | Arens et al. (2010) |
| S: 1380 | ||||
|
|
D5 (gene-based) F: CCCGTGGCACTACAACTCTT R: TCTGCTTTCGCTCTGCTTGA |
R: 876 | Yang et al. (2017a) | |
| S: 820 | ||||
|
|
Ph3 (gene-based) F: CTACTCGTGCAAGAAGGTAC R: TCCACATCACCTGCCAGTTG |
R: 176 | Jung et al. (2015) | |
| S: 154 | ||||
| TYLCV |
|
TG0302 (gene-based) F: TGGCTCATCCTGAAGCTGATAGCGC R: TCCACATCACCTGCCAGTTG |
R: 940 | Yang et al. (2014) |
| S: 800 | ||||
| TYLCV |
|
P6-25 (gene-linked) F: GGTAGTGGAAATGATGCTGCTC R: GCTCTGCCTATTGTCCCATATATAACC |
R: 630 | Ji et al. (2007) |
| S: 320 | ||||
| TSWV |
|
Sw5b (gene-based) F: CGGAACCTGTAACTTGACTG R: GAGCTCTCATCCATTTTCCG |
R: 541 | Shi et al. (2011) |
| S: NBP | ||||
| TSWV |
|
Sw-5-2 (gene-based) F: AATTAGGTTCTTGAAGCCCATCT R: TTCCGCATCAGCCAATAGTGT |
R: 574 | Dianese et al. (2010) |
| S: 510, 464 |
DNA extraction
Total DNA was extracted from 0.6 g of fresh leaves from 15-day-old seedlings of the considered lines using the CTAB (cetyl-trimethyl-ammonium bromide) extraction method (Doyle & Doyle, 1987). The extracted DNA was adjusted to a concentration of 10 ng((L-1. A 25 (L reaction mixture was used, which included 4.7 (L of H2O, 10 (L of dNTPS (200 (M), 2.5 (L of buffer (1x), 3 (L of MgCl2 (3 mM), 1 (L of each primer (Forward and Reverse) (10 pmol((L-1), 0.3 (L of Taq Polymerase (1.5 u((L-1) and 2.5 (L of DNA (10 ng((L-1). PCR conditions were: initial denaturation at 93 °C for 1 min, 40 cycles of 20 s at 93 °C, 1 min at the primer annealing temperature and 20 s at 72 °C each, and a final extension of 6 min at 72 °C. After cooling to 10 °C, PCR products were separated by electrophoresis on a 2 % agarose gel with 1x TAE buffer and stained with ethidium bromide. Visualization was performed under UV light with a photodocumenter (DigiDoc-It, UVP®, USA). Annealing temperatures used for the primers were: 1) 60 °C for the markers Pmi3, Mi23, Ph3, TG0302, P6-25, 2) 64 °C for Sw5b, At2 and D5, 3) 55 °C for Sw-5-2 and 4) 56 °C for Z1063.
Analysis of markers and amplification products
Those markers that produced clear bands and loci-specific PCR products were considered useful, whereas abnormal PCR products were discarded and not included in the final analysis. Amplicon size and other marker characteristics were obtained from other research work (Table 1). The presence of resistance alleles was confirmed using commercial hybrids (Moctezuma, El Cid and Mesias) from the company HM.Clause® México as controls, since they present alleles of declared resistance to pathogens such as Meloidogyne sp., Fusarium (race 1, 2 and 3), TYLCV and TSWV.
Results and discussion
Molecular markers for root-knot nematodes (Meloidogyne spp.)
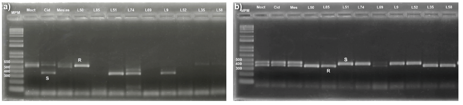
Using the Pmi3F/R primers (El Mehrach et al., 2005), for the Mi-1 gene, different genotypes were identified: six susceptible homozygotes (mi/mi) with a 350 bp band, eight resistant homozygotes (Mi/Mi) with a 550 bp band (including the commercial hybrid Moctezuma) and one heterozygous genotype (Mi/mi) with both bands (Cid) (Figure 1a). Mehrach et al. (2005) also examined the use of Pmi3 and identified heterozygous and homozygous genotypes resistant and susceptible to Meloidogyne.

The Mi23F/R primer pair (Seah et al., 2004) was used to detect the presence of the Mi-1.2 gene and eight homozygous resistant genotypes (Mi/Mi) characterized by a 380 bp band with potential for resistance transfer were identified (Figure 1b). Likewise, eight susceptible homozygous genotypes (Mi/Mi) with a 430 bp band and three heterozygous genotypes (Mi/Mi) with both bands were found, including three commercial hybrids. Seah et al. (2004) evaluated the Mi23F/R markers and allowed them to discriminate lines resistant and susceptible to Meloidogyne in heterozygous and homozygous states.
The bands of the Pmi3F/R and Mi23F/R markers, linked to the Mi-1 and Mi-1.2 genes, respectively, showed different identification patterns in three genotypes. These genotypes exhibited a single 550 bp resistance band with the Pmi3F/R markers, whereas the Mi23F/R markers identified them as heterozygous, which could indicate that these genes, although homologous, are not identical (El Mehrach et al., 2005). These genes encode proteins consisting of a nucleotide binding site and a leucine-rich region (CC-NBS-LRR), and provide effective protection against Meloidogyne species (Milligan et al., 1998; Devran et al., 2023). The Meloidogyne resistance gene Mi-1 was determined to be linked to several genes, including the homozygous gene Ty-1 in repulsion phase, which is linked to undesirable genes (Carbonell et al., 2018).
Molecular markers for fungi
Tomato vascular wilt (Fusarium oxysporum f. sp. lycopersici)
For the Fusarium oxysporum race 1 resistance gene, the At2F/R markers were used (Ori et al., 1997; Scott et al., 2004; Arens et al., 2010). Sixteen lines were found with resistance, evidenced by the 130 bp band, and one line that showed both bands (Figure 2a). In turn, resistance genes to Fusarium oxysporum race 2 were detected using Z1063F/R markers (Simons et al., 1998; Arens et al., 2010). Eleven lines with resistance were identified, characterized by the 940 bp band, and six lines did not generate a band (Figure 2b). Arens et al. (2010) evaluated 16 primer pairs for the I-1 gene, and detected a seven-nucleotide deletion in susceptible genotypes; this led to the development of the At2 markers, validated in different laboratories to identify the I-1 gene. On the other hand, the Z1063 marker only identifies the introduced gene from S. pimpinellifolium. Neha et al. (2016) evaluated 18 lines with the markers At2 for I-1 and Z1063 for I-2, and identified 14 lines with the I-1 gene and one line with the I-2 gene.

Tomato vascular wilt, caused by F. oxysporum f. sp. lycopersici, causes significant crop losses; therefore, it is crucial to detect the presence of resistance or tolerance genes in commercial varieties. Races 1, 2 and 3 have been recognized as the most detrimental to yield (Sela-Buurlage et al., 2001).
Tomato gray spot (Stemphyllium sp.)
To identify the Sm gene, D5F/R markers were used (Yang et al., 2017a). In 15 lines, the 876 bp resistance band was evident and no 820 bp susceptible lines were found (Figure 3); two lines produced no amplification. Yang et al. (2017b) evaluated the expression of Sm resistance genes in F2 segregants, which led to the identification of the D5 marker segregating next to the resistant locus. This makes it possible to distinguish between resistant and susceptible lines. Tomato gray spot, a common foliar disease in warm climates, is caused by Stemphyllium lycopersici and resistance to this pathogen is attributed to a single incomplete dominant gene (Sm), which confers tolerance to four Stemphyllium sp. species (Su et al., 2019).

Molecular markers for oomycetes
Late blight (Phytophthora infestans)
Ph3 gene identification was performed with Ph3F/R markers (Jung et al., 2015), and 15 resistant lines were detected with the 176 bp band, but no susceptible lines were found (Figure 4). The presence of multiple resistance or tolerance genes for P. infestans improves plant performance against the disease, although their value may be limited due to the lack of durability of resistance to the emergence of new genetic variants of the pathogen (Scott, 2005). Therefore, the use of combinations of these genes is recommended. Considering the impact and rapid spread of this disease, genetic tolerance to P. infestans is of great interest in breeding programs; furthermore, it should be considered that the Ph3 gene confers incomplete dominant resistance (Robbins et al., 2010; Foolad & Panthee, 2012).

Molecular markers for viruses
Tomato yellow leaf curl virus (TYLCV)
Six tolerance genes for TYLCV, an economically important pathogen, have been identified (Verlaan et al., 2013; Wang et al., 2018). Ty-2 gene identification was performed with TG0302F/R markers (Hanson et al., 2016), which generate two bands: one of 940 bp for resistant genotypes and another of 800 bp indicating susceptibility (Table 1; Figure 5a). In no cases were lines identified with the resistance band, but 18 genotypes showed the susceptibility band. Several researchers have used TG0302F/R markers to identify lines with the Ty-2 resistance gene (Lee et al., 2015).

The Ty-3 gene was identified with the P6-25F/R markers (Ji et al., 2007) that generate four bands: one of 320 bp for susceptibility, one of 450 bp for resistance to the Ty-3b locus, one of 630 bp for the Ty-3a locus and one of 660 bp for the Ty-3 locus. Only the commercial hybrid Moctezuma showed heterozygous resistance and 17 lines were found to be susceptible (Ty-3) (Figure 5b). Nevame et al. (2018) developed a new marker to identify Ty-3 resistance genes, using the ligated P6-25 marker. This marker is efficient in identifying Ty-3, Ty-3a and Ty-3b. Ty resistance genes confer partial resistance or tolerance to TYLCV. The Ty-1 gene stands out for its effectiveness in the homozygous state for resistance to TYLCV, whereas Ty-3 shows greater resistance to monopartite and bipartite viruses (Carbonell et al., 2018).
The Ty-3 gene, located on the long arm of chromosome six, is linked to the Ty-1 gene (Ji et al., 2007). The presence of homozygous alleles for Ty-1 resistance has been shown to reduce fruit yield (Carbonell et al., 2018) and other agronomic traits such as number of inflorescences per plant, number of inflorescences with fruit per plant, number of fruits per plant, fruit weight, marketable yield and titratable acidity. Its effect was particularly significant on total and marketable yields, which decreased by 50 % (Rubio et al., 2016).
The introduction of the Ty-1 gene entails other genes linked to negative effects on the production of volatile compounds and other metabolites. This suggests that the presence of DNA fragments associated with the Ty-1 gene is responsible for changes in the aromatic characteristics of tomato varieties, and no recombinations have been detected that allow separating them (Carbonell et al., 2018); therefore, it is recommended to keep it in a heterozygous state to counteract the effects of unwanted genes. To obtain lines with greater resistance to TYLCV, the presence of more than one Ty gene is needed. Some commercial hybrids have Ty-2 and Ty-3 in a heterozygous state, which gives them greater resistance than those with only one of them (Mejía et al., 2005; Hanson et al., 2016).
Spotted wilt virus (TSWV)
Of the eight genes identified for resistance to TSWV, the presence of the Sw5b gene, recognized as the most effective because it is not specific to a single variant (Scott et al., 2004; Saidi & Warade, 2008; Zaccardelli et al., 2008; Foolad et al., 2008), was evaluated. This gene was identified with the Sw5bF/R markers (Shi et al., 2011), which produce a 541 bp band in resistant genotypes. All 20 individuals evaluated presented the resistance band (Figure 5c). Shi et al. (2011) evaluated specific markers for the Sw5b gene in 26 lines, and with the Sw5b marker they identified the presence of the Sw5 locus related to virus resistance. In this study, a second marker (Sw-5-2F/R) was used to identify the Sw5b gene, which is co-dominant (Dianese et al., 2010) and generates a resistance band of 574 bp and susceptibility bands of 510 and 464 bp (Table 1). Of the genotypes evaluated, 14 were homozygous recessive, one was homozygous dominant and two were heterozygous (Moctezuma and Mesias; Figure 5d).
Conclusions
Molecular markers were validated for 10 genes related to disease resistance that impact tomato cultivation. These markers allowed us to identify the presence of disease resistance genes in 17 advanced tomato lines. Specifically, markers associated with Meloidogyne sp. enabled the identification of both heterozygous and homozygous lines.
SCAR-type molecular markers can be used for assisted selection in gene introgression by backcrossing into outstanding yield and quality lines lacking alleles resistant to the six pathogens.
The use of molecular markers in breeding programs facilitates the detection of outstanding lines in the early stages of cultivation, which would speed up selection processes and generate savings by focusing only on plants with resistance. This strategy demonstrates greater efficacy compared to conventional breeding methods.

